part I - the beginning
life - a habit hard to break

May 6th, 2017
It was the day my old self died. I hadn't chosen to abandon my old self’s existence in the world, nor had I the misfortune of encountering a calamitous accident. Rather, bits of my old self had been wiped out with the unforgiving efficiency of a silent assassin: I had survived a spontaneous cervical internal carotid artery dissection.
Spontaneous cervical internal carotid artery dissection. Sounds impressive. It certainly sounds a lot better than saying that a clot had broken away from a flap-like tear in an artery in my neck and blocked blood flow to my brain, starving the grey matter of vital oxygen and destroying and damaging quite a few of its cells. Or stroke. No one knows for sure what had caused the tear. It’s suspected that neck strain while doing a free weights session at home either caused it or it might have exacerbated it. Given the list of possible causes on this link from these chaps, it could be a number of reasons.
I also hate that word: stroke. I can barely use it. It sounds like the word should be attributed to someone who is very unhealthy, slobbish-like. You know the sort: a sixty fags a day, TV binging, electronic tagged ASBO ne'er-do-well, if the Daily HateMail would have everyone to believe. The reality is, of course, something else.
It was mostly painless. I recall twice having a sudden shooting pain that ran from the left side of my face to the left part of my forehead, but they weren’t successive, they were quick, ephemeral, blips. Maybe I've blocked the pain out from my memory, but I think it was mostly painless. It’s not that way for some people, though. I've heard anecdotes of excruciating headaches from people who had had similar blips. But mine was mostly painless, I think.
It started with my left eye feeling a bit dry, a bit gritty, like there was something in-between my cornea and eyelid. There was a rhythmical, pulsating throbbing behind it, too. But there was no pain as such, just some kind of mild albeit irritating palpitation that was so innocuous it lacked any sort of offence. It certainly was nothing to get distressed about, or even pop open a paracetamol or two. Little did I know that I was about to mistakenly attribute my brain gasping for its life to a far less serious condition.
My ABI struck around mid-day. Before it chimed, I had been exercising with free weights at home. (About two years before, I had developed a shoulder problem, possibly from bad posture, and the physiotherapists suggested using forms of resistance. I did weights not for bulk, but for general fitness, and to repair my otherwise naff shoulder. Besides, I was very fit and muscular in my late teens and mid twenties and have kept and maintained my trim figure throughout my life, using forms of resistance and cycling, so it was nothing new). Admittedly, before this particular Saturday, I hadn't done weights for a few weeks, and the night before I had drunk a bottle of wine. (I mention the wine because around 2 years later Abi was speaking to a nurse and was telling her about my condition. The nurse said that she regularly saw people with similar symptoms and conditions after they had had a workout following a few drinks the night before, adding that wine thickens blood if drunk excessively.) While putting the weights away it began: the dry, gritty eye. I rubbed my eye thinking that I might have something in it. I went into the bathroom, looked in mirror and pulled down my bottom eyelid. There was nothing. I rubbed my eye again before returning to the spare room to do a few sit-ups. When I finished, I returned to my bed, flicked on the television and rested.
It was while watching TV that I became aware of a bit of vision deterioration in my left eye, albeit a gradual one. There seemed to be a pitiful failure to decipher detail when looking directly at things. My peripheral vision seemed fine, but if there was a face on TV all I saw was a grey fuzzy blob. 'Friends' was on, as it often is, and the characters' faces looked fuzzy. The inability to look at things ripened further when I shifted my gaze from the TV to outside my bedroom window. It seemed that my left eye was more sensitive to light. Everything seemed to be shiny and bright, and the colour white became noticeably brighter. Even the leaves on the trees where the sun was reflecting on them were indistinguishable from one another and seemed to merge into a silver mass.
I got out from my bed and went to the mirror in the bathroom again. My left eye looked red from rubbing it but otherwise it looked ok to me. I thought that maybe I overdid the weight session. After all, I hadn’t really eaten this morning – the only thing I had consumed was a mug of coffee and a few glasses of water. “Yeh, I’ve overdone it,” I thought. “I should eat.”
I got half-way down stairs before I slipped. As I was wearing nothing on my feet but slippy socks, I thought no more about it. Entering the kitchen I said hello to my son (he was sitting at the breakfast table watching something on Plex) and made my way over to the cupboard. As I began to pull out a saucepan, I stumbled.
“Are you alright, dad?”
“Yeh yeh. Good.”
Into the saucepan went porridge, honey and milk, and onto a hob it was placed. I then went into the conservatory. Abi and my daughter had their backs to me while sat on the decking, talking. I wasn’t in the conservatory for long as it was at this point that circumstances speedily turned for the worst. Suddenly, unexpectedly, I felt queasy, nauseous and faint. I hurried out of the conservatory, tripping over the lip of the door separating it and the kitchen, but somehow managed to keep my balance long enough to switch off the hob heating the porridge as I passed by.
“Dad, are you alright?” my son asked, again.
“Yeh, fine.” I lied.
Now, whether it was intuition, clairvoyance or some kind of prestidigitation, my son knew something was not quite right. He followed me out of the kitchen and upstairs. And it was there, at the top of the stairs, that I collapsed.
Seeing him within eyeshot, I slurred, “Get mum!”
Those were the last words I’d speak to my son for a little over a week. (He has since said that, on his way upstairs, he noticed my face had drooped.)
“Mum, Mum! Dad’s collapsed upstairs!”
As if from nowhere, just like the magical “moustachioed, fez-wearing shopkeeper” in Mr Benn, I was suddenly aware of Abi standing over me. However, while the magical “moustachioed, fez-wearing shopkeeper” in Mr Benn would usually hold a smile, Abi had a look of fear on her face. She was mouthing something but all I heard was a rushing, shushing noise going round my head, and the sound drown out what she was saying. I felt confused. It seemed that my ability to process audible sound was found wanting. I tried to move my mouth to answer but my mouth either was not moving, or my mouth was moving and yet still nothing came out. (It turned out that Abi was asking if I was having a stroke and I simply couldn’t answer her).
Abi’s intuition reckoned that I wanted to return to the bedroom, and her reckoning was right. After a few twists and turns and a lot of assistance, I somehow managed to execute a two-limbed crawl towards the bedroom, dragging my right leg behind me, while Abi held my right arm. At the bedside, I launched myself with my left leg and crashed onto the bed, flipped over and lay on my back. Again, Abi pressed me for an answer on how I was doing. I couldn’t answer. It seemed like my thoughts and my internal brain chatter were no longer functioning and were replaced by a constant shushing sound. A tap had opened and my very being was gushing out of it. I felt detached from my senses but inexplicably aware of my immediate surroundings. Failing to provide an answer for her, Abi called for an ambulance.
Things seemingly moved pretty quick over the next 20 minutes or so: our children were shepherd to a neighbour's house opposite, further calls were made to Abi’s family and mine, and another neighbour came over after hearing the sound Abi flapping from her garden. That neighbour, the one in the garden, was a police officer, who kind of took charge. Shortly, a paramedic arrived and he duly hooked me to up to liquids, presumably for re-hydrating. He checked me over and asked a few questions. I couldn’t reply so Abi did her best to answer them. The paramedic deduced rightly that I was an emergency case and called for an ambulance. Soon, Abi’s mum, Abi’s sister and brother-in-law had arrived. Abi’s brother-in-law popped upstairs. He was on the phone, hopefully to the ambulance crew. (Abi’s brother-in-law later said that he thought that I was a gonner, “This is it,” he remarked later. “He’s a gonner!”). It wasn’t long before he returned downstairs. Aside from Abi, the paramedic and the police officer everyone else stayed downstairs. The paramedic called again to chase the ambulance, only to be told that it had been called for a fatality and will be here soon. Shortly after it had arrived, I was put in a stretcher and carried downstairs and outside. As I was being hoisted into the ambulance, the neighbours watched.
hospital I
Corridors are often dull and boring and the ones I regarded while being wheeled to Prince Charles hospital A&E were ordinary at best. While I was being hooked up to anticoagulants and various cocktails, Abi was answering all questions as best she could: what was I doing, do I take drugs, medical history, history of stroke, do I suffer from high blood pressure, allergies? Exercising, no, fine, none, no, none! I was aware that I wasn’t moving my body very well but I thought it wasn’t as bad as it actually turned out to be. I was flanked either side by machines that went 'ping' or 'beep'. My body felt heavy, pinned to the A&E bed by an invisible force.
I wasn’t sure how long I had been in A&E before I was wheeled away to get the first of four CT scans. CTs are in the depths of the hospital, and I felt bitterly cold down there. Following the CT, I was taken up the an emergency ward. There were six on the there, all suffering from different ailments and maladies as a consequence of some sort of ABI. I felt like I was about drift off, like I was falling into an abyss: clinging on by fingertips until each finger, one by one, loses its grip, before I disappear in slow-motion into the immeasurably deep pit partially obscured by swirling fog. Or something. I closed my eyes and slept, dreaming of nothing but an impenetrable black.
The following morning I awoke, which was all I could do. Sadly, I awoke to find five people on the ward. The bloke on the bed opposite me had died during the night. It wasn’t long before we were once again replenished with a full stock of just-about-living souls. <sarcasm>Happy days!</sarcasm>
Following yet another sleep, I woke to find Abi, my dad and my brother sitting at the foot of the bed. Dazed, confused, numb, feeling like my brain had been turned to treacle, sleepy, detached from my surroundings, unable to answer a single question aimed at me, a doctor came my way. “Mr Morgan,” she said. “You’ve had a stroke.” I knew I had but on hearing it I broke down. The doctor turned and left. Blunt and to the point, fair play.
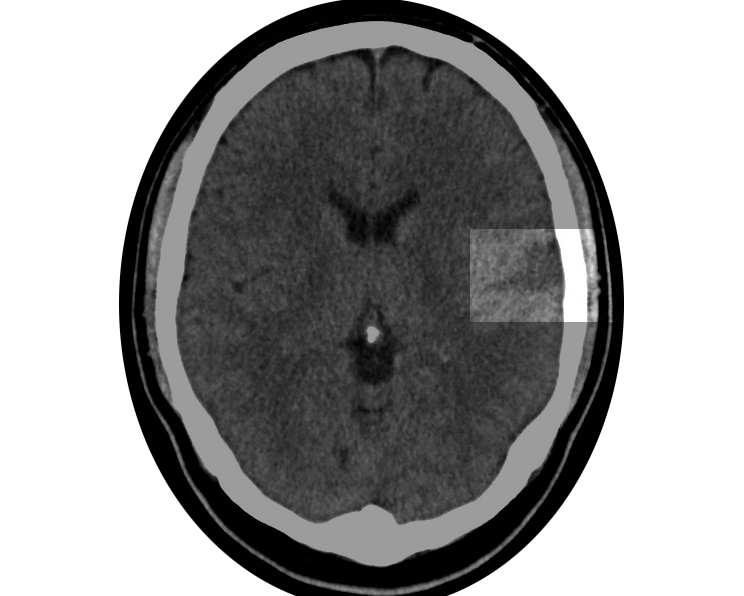
Conclusion: No evidence of acute or subacute intracranial pathology.
Clinical History: Post thrombolysis, 24-hour followup haemorrhage?
Finding Comparison is made with the previous CT brain obtained on 6 May 2017. There is an involving infarct within the left frontoparietal region but no acute intracranial haemorrhage is demonstrated. There is modest associated swelling and mass effect but this is not compromising at present. There is no evidence of inferior frontal or temporal lobe involvement at present.
Opacification is again noted within the right maxillary antrum and ethmoids.
Conclusion Evolving infarct within the left MCA territory involving the frontoparietal region. No features of malignant MCA infarction at present.
Clinical details: Left MCA infarct following weight lifting. No vascular risk factors? carotid dissection.
The left internal carotid artery is occluded from the level of the base of the odontoid peg.
No contrast from this level to the intra petrous level, incomplete opacification of the distal intra petrous carotid bone and intracavernous carotid, presumably retrograde filling via the circle of Willis.
The left cranial arteries outline normally including the MCA branches. The vertebral basilar arteries are normal.
Established infarcts in the anterior and posterior left frontal lobes.
Conclusion. Occlusion of the distal 3 cm of the cervical internal carotid artery, presumably this is due to a dissection. An echo would be useful to exclude a cardiac cause.
(For discloser, I had an echo and it did indeed exclude a cardiac cause, indicating my condition hadn't developed from, or was caused by, a previous health condition. There was also no family history of stroke, so it wasn't hereditary either.)
I was 44. Forty-bloody-four. It was two weeks before my 45th birthday and the entire right side of my body was paralysed, pinned to the bed. My right foot had spasticity and was angled 45 degrees to the left like a club foot, and my right leg was immobile and felt as numb as an enduring, stubborn erection, my right arm lifeless. Even the right side of my face and head felt anaesthetised. Oh yes, just to add to it all, I couldn’t speak. Not. One. Word. I had aphasia. I lost the ability to speak. What a nuisance!
I wasn’t sure how to measure a stroke in terms of its severity (was I 10% screwed, 30% screwed, 60% screwed?), or even how to define its severity, but I thought it was pretty bad nonetheless. In a nutshell, I had to learn to walk and talk again – two things in life that I thought I’d have to learn just once. It was slightly more than an inconvenience; it was one fucked up situation - and an unexpected one!